表参道高柳矯正歯科

表参道高柳矯正歯科

表参道高柳矯正歯科

Interdisciplinary Approach

審美補綴やインプラントを含む総合歯科治療

03

上顎左右2番矮小歯症例

Case 症例

Interdisciplinary Approach

審美補綴やインプラントを含む総合歯科治療

03

上顎左右2番矮小歯症例

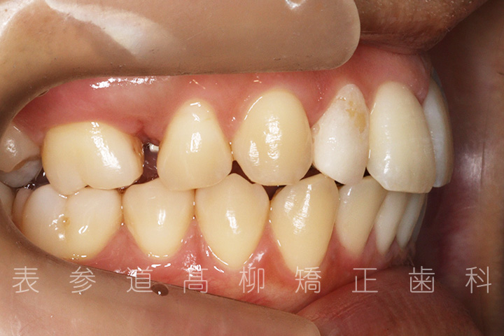
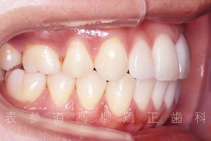
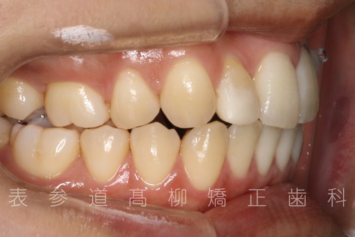
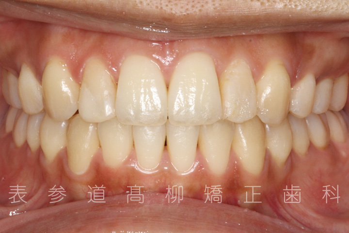
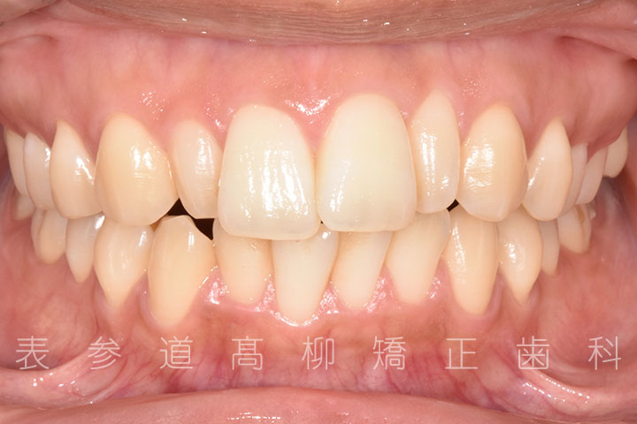
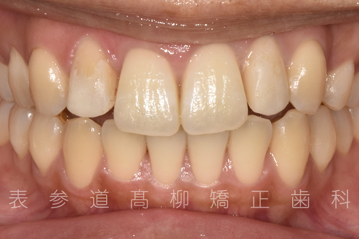
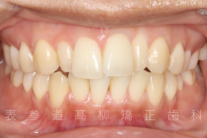
上の前歯が出ているのと前歯が小さいことをお悩みの患者様の症例をご紹介いたします。

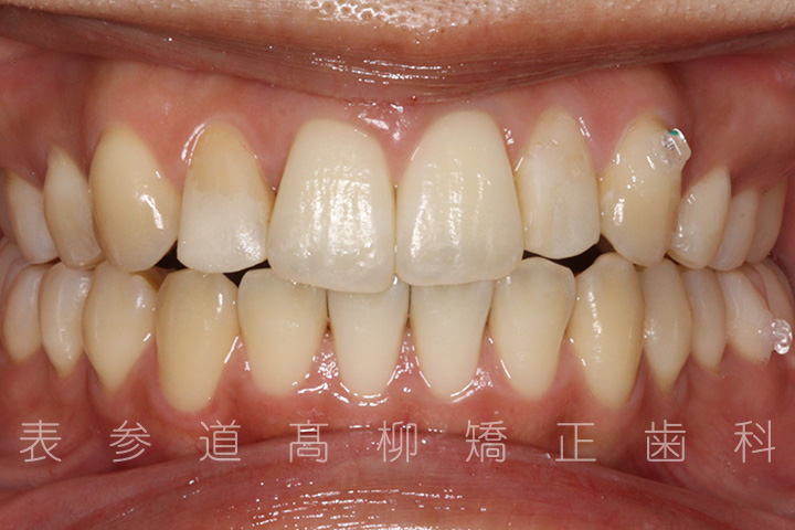
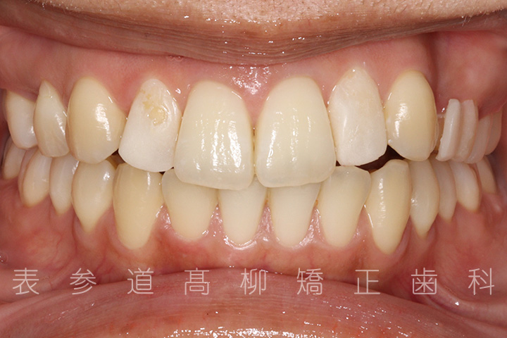
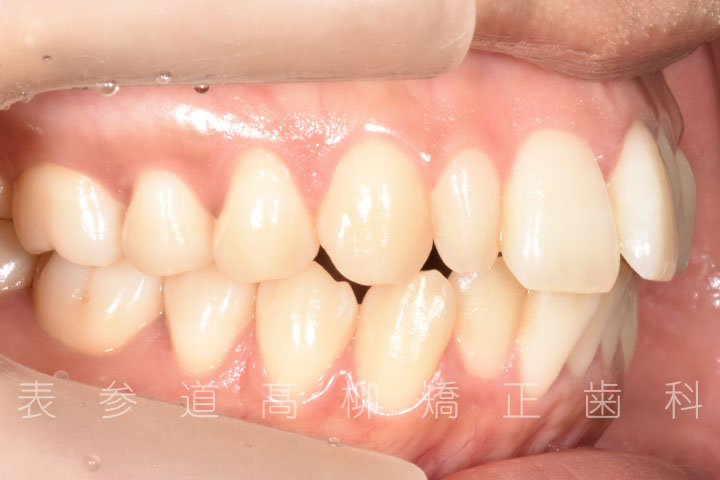
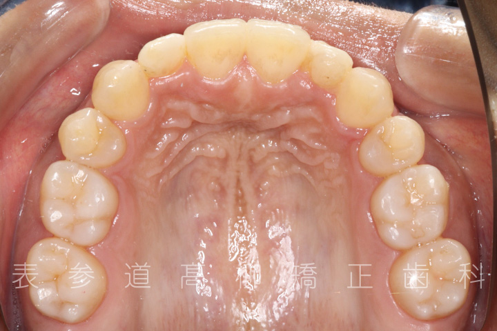
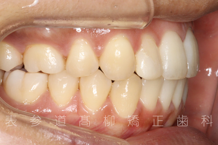
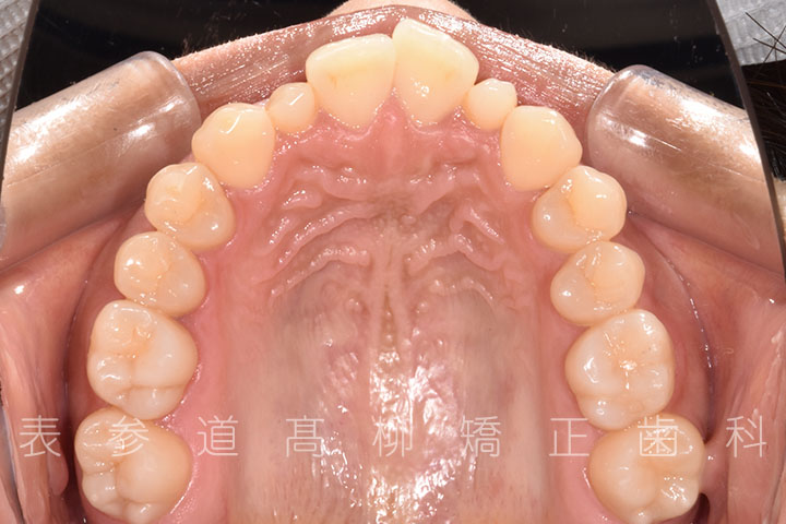
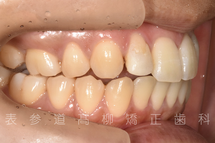
治療前→治療後

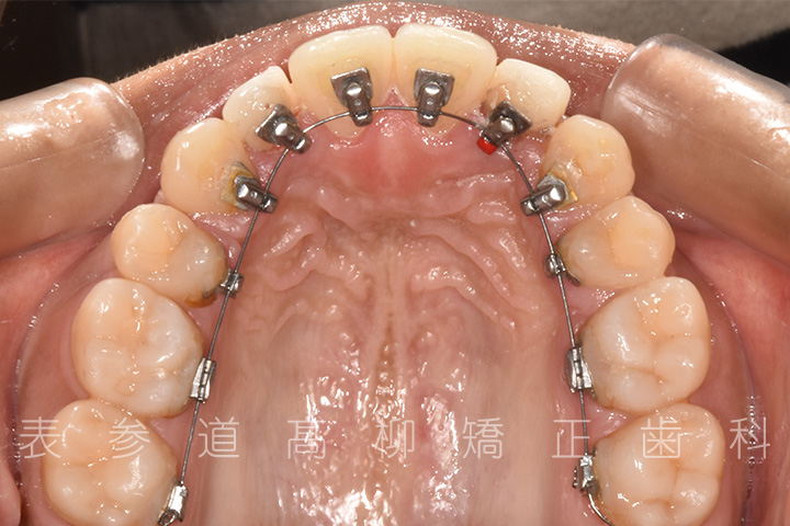
治療経過

  • 初診

  • 矯正治療開始

  • 6ヶ月後

  • 12ヶ月後

  • 17ヶ月後

  • 矯正治療終了

  • 補綴治療終了

治療におけるポイント

・上顎前突(前歯の前方傾斜)
・2⏊2矮小歯(先天的に形態が小さい歯)
・上下前歯部叢生(凸凹歯並び)

治療

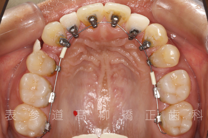
・上顎左側第一小臼歯、右側第二小臼歯を抜歯
・前歯部の叢生(ガタガタ感)を改善
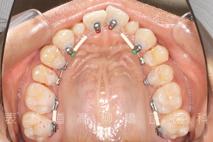
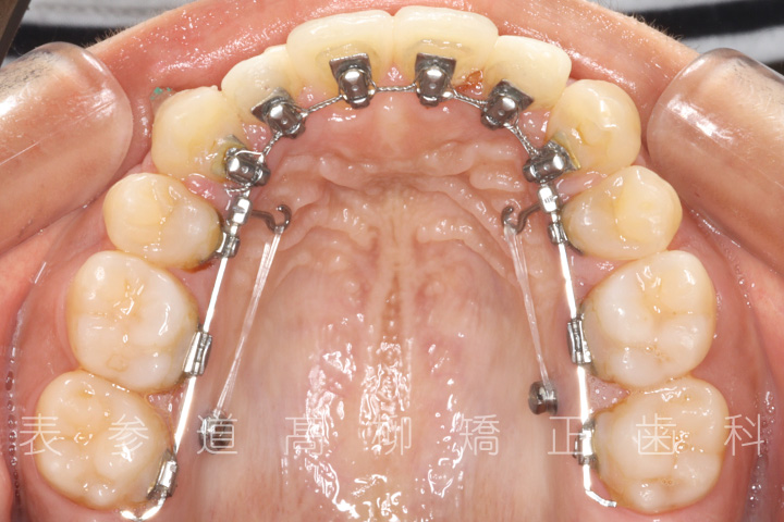
・歯科矯正用アンカースクリューを併用し、前歯部を後方へ移動する
・上下歯列の緊密な咬合関係の確立に顎間ゴムを併用(装着時間20時間以上/日)
・アライナーによる嚙み合わせの微調整
・矯正治療終了後 加部歯科医院(https://kabe-dent.net) にて2⏊2補綴処置を行った

治療に用いた主な装置

・リンガルブラケット装置
・歯科矯正用アンカースクリュー
・アライナー

術前術後の比較

矯正治療に伴うリスクや副作用について

  1. 治療開始直後は矯正装置による不快感、痛み等があります。1、2 週間以内で慣れることが多いです。
  2. 歯の動き方には個人差があります。予想された治療期間が延長する可能性があります。
  3. 矯正装置の使用、管理、定期的な通院など、矯正治療には患者さまの協力が治療結果や治療期間に影響します。
  4. 治療中は、むし歯や歯周病のリスクが高まりますので、丁寧に磨いたり、定期的なメンテナンスを受けたりすることが重要です。また、歯が動くと隠れていたむし歯が発見されることもあります。
  5. 歯を動かすことにより歯根が吸収して短くなることがあります。また、歯肉が下がることがあります。
  6. ごくまれに歯が骨と癒着していて歯が動かないことがあります。
  7. ごくまれに歯を動かすことで神経が障害を受けて壊死することがあります。
  8. 治療途中に金属等のアレルギー症状が出ることがあります。
  9. 治療中に「顎関節の音が鳴る、顎が痛い、口が開けにくい」などの顎関節症状が出ることがあります。
  10. 治療中に状況が変わり、当初予定した治療計画を変更する可能性があります。
  11. 歯の形を修正したり、咬み合わせの微調整を行ったりする可能性があります。
  12. 矯正装置を誤飲する可能性があります。
  13. 矯正装置を外す時に、エナメル質に微小な亀裂が入る可能性や、かぶせ物(補綴物)の一部が破損する可能性があります。
  14. 治療終了後、リテーナーを指示通り使用しないと後戻りが生じる可能性が高くなります。
  15. 治療終了後、現在の咬み合わせに合った状態のかぶせ物(補綴物)やむし歯の治療(修復物)などをやりなおす可能性があります。
  16. 10代の顎の成長発育によりかみ合わせや歯並びが変化する可能性があります。
  17. 治療後に親知らずの影響で歯並びが変化することがあります。加齢や歯周病等によりかみ合わせや歯並びが変化することがあります。その場合、再治療等が必要になることがあります。
  18. 矯正歯科治療は、一度始めると元の状態に戻すことは難しくなります。
その他の矯正治療中に起こりうる
リスクと限界について

Other Cases

その他の症例

症例一覧を見る

.Orthodontics

舌側矯正治療

装置が目立ちづらい舌側矯正治療

さらに詳しく
舌側矯正治療

.Flow

ご相談から
治療の流れ

長期に渡る治療を丁寧にサポート

さらに詳しく
ご相談から治療の流れ

Access

所在地

表参道高柳矯正歯科

表参道駅A2出口から徒歩3分

〒107-0061
東京都港区北青山3-5-44 HT青山 4F
03-6434-5681

Google Maps
閉じる

駅からの道のり

  • 01

    表参道駅 A2 出口を出たら右手にある原二本通りに入ります

  • 02

    突き当たりを右に曲がり、道なりに左手に進みます

  • 03

    一つ目の曲がり角を右に進んでください

  • 04

    公園の向かい側に当院があります

  • 05

    こちらの入り口から4階にお上がりください