表参道高柳矯正歯科

表参道高柳矯正歯科

Cases

症例

Escortship

Category

カテゴリー

Open Bite Case

開咬症例

鼻詰まり等で口呼吸をしている症例に認められる歯並びです。「舌の突出癖」が原因のため、舌のトレーニングも併せて治療を行う必要があります。

Maxillary Protrusion Case

上顎前突症例

通称「出っ歯」と呼ばれる歯並びです。奥歯で噛むと下の前歯が見えない「過蓋咬合」や口を閉じても顎の先にシワができる「オトガイ筋の緊張」を伴うことがあります。

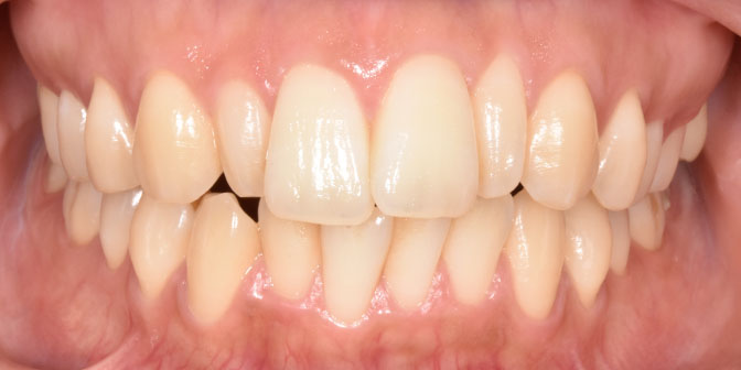
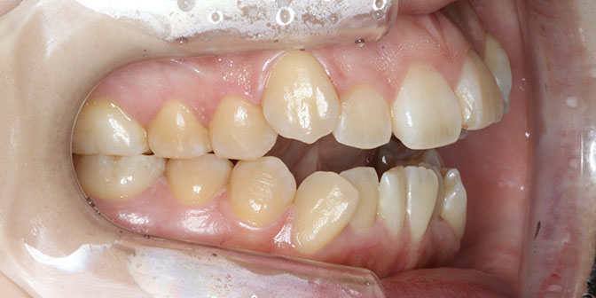
Crowding Case

叢生(凸凹歯並び)症例

顎と歯のバランスが取れずにガタガタが生じている状態で、「八重歯」を伴うことがあります。

Bimaxillary Protrusion Case

上下顎前突症例

通称「口ゴボ」とも呼ばれる歯並びで、鼻の先端と顎の先を結んだ線より口元が突出している状態を指します。「オトガイ筋の緊張」を伴うことがあります。

Mandibular Protrusion Case

下顎前突症例

通称「受け口」とも呼ばれる歯並び。骨格的に下顎が前方に出ている状態で、前歯の噛み合わせが逆になる「反対咬合」を伴うことがあります。 骨格的なズレが大きい場合は手術を伴う「外科矯正」を行うこともあります。

Interdisciplinary Approach

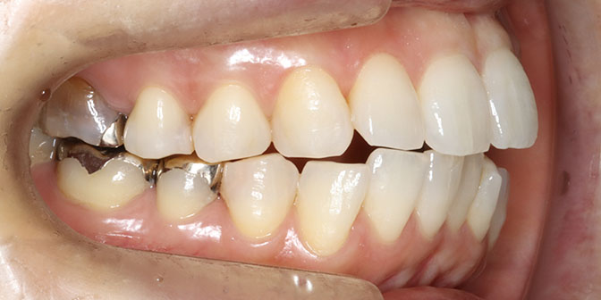
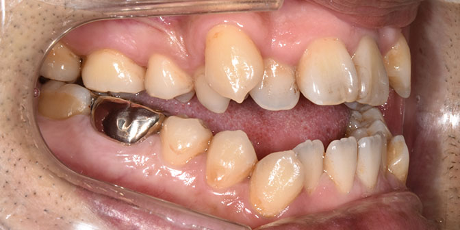
審美補綴やインプラントを含む総合歯科治療

欠損部位や被せ物等を伴う症例で一般歯科との連携で行う症例となります。

Temporary Anchorage Device

歯科矯正用アンカースクリュー

当院では「奥歯の後方移動」、「前歯の上方への牽引」、「上顎骨の拡大」など様々な用途で矯正用アンカースクリューを用います。

.Orthodontics

舌側矯正治療

装置が目立ちづらい舌側矯正治療

さらに詳しく
舌側矯正治療

.Flow

ご相談から
治療の流れ

長期に渡る治療を丁寧にサポート

さらに詳しく
ご相談から治療の流れ

Access

所在地

表参道高柳矯正歯科

表参道駅A2出口から徒歩3分

〒107-0061
東京都港区北青山3-5-44 HT青山 4F
03-6434-5681

Google Maps
閉じる

駅からの道のり

  • 01

    表参道駅 A2 出口を出たら右手にある原二本通りに入ります

  • 02

    突き当たりを右に曲がり、道なりに左手に進みます

  • 03

    一つ目の曲がり角を右に進んでください

  • 04

    公園の向かい側に当院があります

  • 05

    こちらの入り口から4階にお上がりください